Gum Disease Therapy

Gingivitis
The longer plaque and tartar are on teeth, the more harmful they become. The bacteria cause inflammation of the gums that is called “gingivitis.” In gingivitis, the gums become red, swollen and can bleed easily. Gingivitis is a mild form of gum disease that can usually be reversed with daily brushing and flossing, and regular cleaning by a dentist or dental hygienist.
Periodontitis
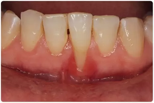
When gingivitis is not treated, it can advance to “periodontitis” (which means “inflammation around the tooth”). In Periodontitis, gums pull away from the teeth and form spaces (called “pockets”) that become infected. If not treated, the bones, gums, and tissue that support the teeth are destroyed. The teeth may eventually become loose and have to be removed.

How Is Gum Disease Treated?
The main goal of treatment is to control the infection. The number and types of treatment will vary, depending on the extent of the gum disease but “deep cleanings” are usually part of the treatment protocol. Any type of treatment requires that the patient keep up good daily care at home. Dr. Karthika Sarvendran may also suggest changing certain behaviors, such as quitting smoking, as a way to improve treatment outcome.

Gum Disease Therapy For Periodontal Diseases
If you have been told you have periodontal (gum) disease, you’re not alone. Many adults in Canada currently have some form of the disease. Periodontal diseases range from simple gum inflammation to serious disease that results in major damage to the soft tissue and bone that support the teeth. In the worst cases, teeth are lost.
What Are The Symptoms Of Gum Disease?
People usually don’t show signs of gum disease until they are in their 30s or 40s. Symptoms of gum disease include:
Deep Cleaning (Scaling & Root Planing)
Dr. Karthika Sarvendran, periodontist, or a dental hygienist removes the plaque through a deep-cleaning method called scaling and root planing. Scaling means scraping off the tartar from above and below the gum line. Root planing gets rid of rough spots on the tooth root where the germs gather, and helps remove bacteria that contribute to the disease. In some cases a laser may be used to remove plaque and tartar. This procedure can result in less bleeding, swelling, and discomfort compared to traditional deep cleaning methods.



